
Hondsdolheid
Dr W J Grobler BVSc
1. INLEIDING
Hondsdolheid is een van die oudste siektes aan die mens bekend en kan ten spyte van al die vordering op mediese gebied nog nie in toom gehou word nie. Die grootste rede hiervoor is dat die siekte ook deur wilde diere oorgedra word wat die bekamping daarvan baie moeilik maak. Inenting is egter baie geslaagd indien behoorlik toegepas en dus behoort troeteldiere grootliks daarvan gevrywaar te wees. In 2010 het ongeveer 20 000 mense wêreldwyd aan dié gevreesde siekte beswyk.
2. OORSAAK
Die siekte word deur die Hondsdolheidvirus veroorsaak waarvan daar 'n paar tipes bestaan. Alle soogdiere is vatbaar en die siekte steek gewoonlik aan wanneer 'n besmette dier 'n ander dier of mens byt. Die siekte kan egter ook oorgedra word indien die speeksel van 'n besmette dier met slymvliese soos die oog of beskadigde vel (snye of wonde) in kontak kom. Enige dier wat dus verdag voorkom moet met omsigtigheid hanteer word en die naaste veearts of staatsveearts so gou moontlik in kennis gestel word.
Indien iemand gebyt word, neem dit enigiets van twee weke tot nege maande totdat simptome ontwikkel, afhangende van die plek waar die persoon of dier gebyt word. Hoe nader die bytwond aan die kop is, hoe gouer ontwikkel die simptome. In Suid-Afrika word die siekte deur honde (Kwa-Zulu Natal en oostelike Oos-Kaap), rooijakkalse (Limpopo), Bakoorjakkalse (Noord-, Oos- en Weskaap) en Geel Muishonde (Mpumalanga, Vrystaat, Noordwesprovinsie en groot dele van die Kaap) oorgedra.
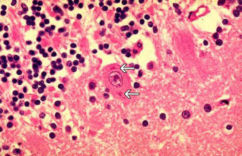
3. SIMPTOME
By mense is die eerste simptome hoofpyn en spierpyne. Namate die siekte vorder word die slukspiere aangetas en kan die persoon nie sluk nie. Die ergste simptoom is dat die persoon se slukspiere in spasme gaan wanneer hy/sy probeer water drink en soms selfs by die aanhoor van lopende water. In die meeste gevalle sterf die persoon binne vyf tot sewe dae ten spyte van mediese behandeling indien die simptome reeds verskyn het.

Bron:www.immunize.org/photos/rabies-photos.asp
By diere ontwikkel een van twee sindrome: Die dol- of die stomvorm van Hondsdolheid. By die dolvorm tree diere aggressief op met baie skuim wat by die bek uitloop vanweë die onvermoë om te sluk. Veral in beeste is die stembande ook aangetas en diere bulk dus vreemd. Wanneer so 'n dier loop, swik die agterpote. 'n Gereelde simptoom by beeste is parsie: Die diere bly druk asof hulle hardlywig is. Een van die gevaarpunte by beeste is juis die erge speekselvloei: Die meeste boere sal dink daar in iets wat in die bek of keel vassit en dit probeer uithaal. Dit kan noodlottig wees indien die persoon snye aan die hand of arm het.
By die stomvorm tree veral wilde diere mak op en kan hulle selfs in wonings inloop. In die geval van jakkalse of ander kleiner vleisvreters soos muishonde is dit baie gevaarlik, want 'n oënskynlike mak dier mag dalk deur iemand hanteer word en so 'n persoon staan die gevaar om gebyt te word sonder waarskuwing. Soms tree verlamming in in die latere stadiums van beide vorms. Hondsdolheid is feitlik 100% fataal: Die enigste kans wat 'n persoon het om te oorleef is indien inenting vroegtydige begin word. (Sien behandeling)
4. DIAGNOSE
Dit is baie moeilik om Hondsdolheid voordoods bo alle twyfel te diagnoseer, maar die geskiedenis van 'n bytwond en die simptome is gewoonlik voldoende om die siekte te diagnoseer. 'n Persoon se kanse op oorlewing indien simptome eers verskyn het is ongelukkig uiters skraal, aangesien daar slegs enkele gevalle aangeteken is waar persone na 'n geïnduseerde koma herstel het. Enige verdagte gevalle moet by die staatsveearts aangemeld word wat die nodige stappe sal neem om te verseker dat geen ander dier of mens blootgestel word nie. So 'n vermeende geval word onder observasie gehou vir tien dae en indien die dier sou sterf word die brein vir toetse gestuur.

Bron:www.immunize.org/photos/rabies-photos.asp
5. BEHANDELING
Indien iemand aan 'n verdagte dier blootgestel is, moet inenting onmiddelik begin word. Aangesien die broeitydperk van die siekte so lank is, is dit een van min siektes waarteen iemand nog geënt kan word selfs na blootstelling. 'n Reeks van inentings word vanaf dag 1 toegedien en dit het al menige mens van 'n gewisse dood gered. Hiperimmuunserum word ook toegedien om die wond. Hiperimmuunserum word verkry deur vrywilligers met die entstof in te spuit en dan na 'n tyd hul serum te trek. Hierdie serum bevat baie teenliggaampies teen die virus.
Indien iemand egter reeds simptome toon is daar weinig wat gedoen kan word. Daar is egter 'n handjievol mense wêreldwyd wat wel herstel het nadat hulle in 'n koma geplaas is. Herstel is egter tydrowend en baie duur. Indien 'n dier simptome toon word dit onder observasie geplaas vir tien dae. Indien die dier sou sterf binne dié tydperk word die brein daarvan getoets en enige moontlike slagoffers geënt.
6. VOORKOMING
Inenting bly die beste beskermingsmaatreël. In Suid-Afrika is eienaars wetlik verplig om alle honde op drie maande ouderdom teen Hondsdolheid te laat ent. Dit word opgevolg met 'n skraagdosis (booster), voor hulle 'n jaar oud is en daarna moet hulle elke drie jaar ingeënt word. (Hierdie vereiste mag verskil in streke waar die siekte algemeen voorkom: Skakel met u naaste veearts om meer inligting in te win hieroor.) Mense wat uit die aard van hul werk blootgestel mag word soos veeartse, word gereeld teen die siekte geënt. Enige verdagte gevalle moet so gou moontlik by u naaste veearts of staatsveearts aangemeld word en sorg moet gedra word dat die dier ingeperk word sover dit moontlik is sonder dat enigeen blootgestel word. Indien u enigsins vermoed dat u in kontak was met 'n besmette dier moet u u huisdokter so gou moontlik kontak. U is ook welkom om ons te kontak met verdere navrae.